El sábado recién pasado, durante la cartelera del UFC 261, los fanáticos de las artes marciales mixtas fueron testigos de una de las lesiones más escalofriantes del último tiempo. Chris Weidman sufrió la fractura de una de sus piernas luego de lanzar una patada en su combate contra Uriah Hall.
El “All-american” llegaba con ganas de recuperar el terreno perdido en el último tiempo, pero en su primer intento de conectar abajo, su tibia y peroné no resistieron. Apenas cayó al piso, los médicos ingresaron a atenderlo y lo trasladaron hasta un centro médico, donde fue intervenido.
Weidman sabe lo que significa ese tipo de lesiones, ya que él mismo lo vivió con Anderson Silva y de la misma manera. Es por ello que luego de la operación, decidió reaparecer en redes sociales para mostrar lo ocurrido.
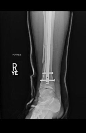
A través de su cuenta de Twitter, el artista marcial compartió imágenes del proceso que se llevó a cabo para reconstruir su pierna. En ellas se pueden ver la barra de titanio que se le dejó para afirmar sus huesos, además de los tres tornillos que fijaron la placa.
Weidman ya recibió el alta médica y descansa en su hogar mientras inicia su rehabilitación. Una que lo podría tener fuera del octágono por más de un año y que incluso podría obligarlo a poner fin a su carrera.
Revisa las imágenes de la operación de Chris Weidman

Así quedó la pierna tras la patada. Foto: Twitter

Luego de la intervención. Foto: Twitter

Weidman terminó con un fierro y tres tornillos. Foto: Twitter




