Científicos brasileños de la Fundación Oswaldo Cruz (Fiocruz) captaron una secuencia de imágenes del momento exacto en que el Covid-19 ataca a las células sanas.
Este es uno de los tantos estudios que se llevan a cabo en el instituto para lograr entender y dar con una cura para el coronavirus que afecta a todo el mundo.
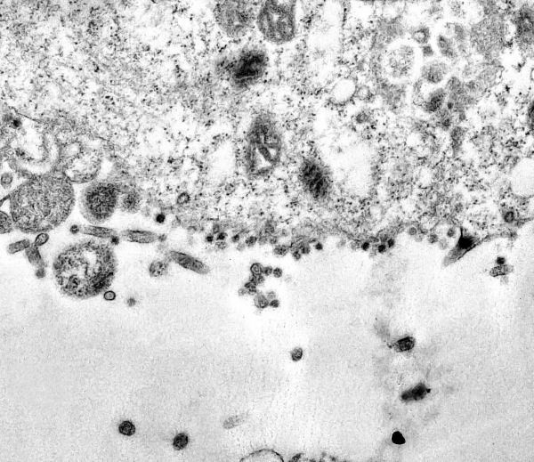
Las impactantes imágenes se tomaron con un microscopio electrónico, detallando cómo ocurre el proceso de contaminación celular por parte del virus.
En la siguiente imagen se puede ver una serie de puntos negros que son las partículas virales del patógeno que intentan afectar al citoplasma de la célula para alcanzar el núcleo, donde se encuentra el material genético de la célula.

El Covid-19 comienza a acechar a las células (EFE).
Luego, en el segundo registro, se ve cuando comienza el proceso de infección por parte del coronavirus.

El Covid-19 comienza a infectar a las células (EFE).
En la última imagen se registra a la célula con las partículas virales ya en su interior, totalmente infectada.

El Covid-19 ya infectó a las células (EFE).
Con este estudio se busca entender de mejor manera el proceso de reproducción del coronavirus, para tener más información para el desarrollo de alguna cura.




