Dentro de los grupos de riesgo del Coronavirus se encuentran las personas que sufren de diabetes y los adultos mayores.
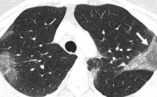
La explicación al riesgo que ellos tienen se debe a la acción de dos procesos: El primero con relación al pulmón, ya que se forma una mucosidad por la respuesta inmune al SARS-COV2, generando un aspecto que se conoce como Opacidad en Vidrio Esmerilado (ver imagen de abajo).

Imagen de Radiological Society of North America.
El segundo punto se debe a unas proteínas que le quitan el hierro al grupo hemo de la hemoglobina, lo que afecta al transporte de oxígeno en la sangre por parte de esta proteína.
Ante eso, los grupos más susceptibles como los diabéticos y adultos mayores, se ven en mayor riesgo. En el caso de adultos mayores, su capacidad pulmonar es generalmente menor que la de adultos jóvenes.
Por otra parte, en el caso de diabéticos y adultos mayores, el mayor índice de azúcar en la sangre hace que la hemoglobina se glicosile, lo cual disminuye su capacidad de transporte de oxígeno de tal manera que los efectos del Coronavirus son aún más agudos que en otros pacientes.




