Paramédico de Everton recibe a los jugadores con traje de protección
En el club ruletero no quieren dejar detalles al azar y el encargado de salud del centro de entrenamientos resguardó los cuidadosal máximo.
En el club ruletero no quieren dejar detalles al azar y el encargado de salud del centro de entrenamientos resguardó los cuidadosal máximo.
El viaje a Italia para el partido ante el Atalanta fue el gran responsable del contagio de los jugadores.
Solo basta dar una vuelta por portales de venta para revisar alzas inescrupulosas de los precios. Hasta 70 mil pesos por mascarillas.
El formado en Colo Colo relató cómo vive la cuarentena en el Viejo Continente.
Así lo informó la institución asegurando que, de todas formas, debe realizarse una contramuestra al no estar del todo claro en el primer examen.
Los chicos se pusieron creativos y aprovecharon su tiempo libre en casa para realizar su ceremonia.
El medicamento ha sido usado en China, España y otros países para tratar el Covid-19.
El jugador del Mallorca explicó, en japonés, una de las medidas más importantes para evitar la propagación del virus.
Este martes la UEFA tendrá una reunión para ver cómo terminará el fútbol en Europa y, en ese sentido, el equipo catalán hará esta solicitud, la que...
Fernando Yáñez aseguró que es muy probable que en los próximos días los futbolistas que milita en algún club chileno se contagien de coronavirus.
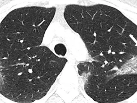
La Sociedad de Radiología de Norteamérica publicó un video que muestra los efectos del Coronavirus en los pulmones.
El actor llamó a que "no caigan en el pánico".
El actual técnico de Banfield criticó la decisión de la AFA de seguir jugando en la Copa de la Superliga argentina pese a la amenaza del coronavirus.
Estos dos grupos se encuentran dentro d elos grupos de riesgo y acá te explicamos por qué.
Las filmaciones están congeladas hasta nuevo aviso.